血細胞分析技術已經進入自動化時代,而具有白細胞五分類或更多分析參數的儀器也普遍的應用于國內各級醫院實驗室中,為臨床診斷和治療服務。而具有18項參數帶有白細胞三分群功能的血細胞分析儀也已經普及進入到基層醫院和社區醫療中心,在許多大型醫院中已不占主流位置,因此可以說目前在較大醫院的檢驗科,常規血細胞分析儀已經進入全自動化和白細胞五分類的時代。
本文主要介紹全自動血細胞分析儀在白細胞五分類上的原理和散點圖分布特點。此類儀器在紅細胞、血紅蛋白、血小板和計算參數上一般會采用類似的測定原理和計算方法,此類儀器的進展和其功能特點可參考作者撰寫的其它文章(見參考文獻)。具有白細胞五分類功能的血細胞分析儀器是指通過各種物理和化學技術對白細胞進行分析,以獲得外周血液中白細胞的五種常見類型,嗜中性粒細胞,嗜酸性粒細胞,嗜堿性粒細胞,淋巴細胞和單核細胞的百分率和絕對值的測定結果,此外還應該具有對出現異常白細胞的提示或初步分類功能。
目前國內外具有開發研制白細胞五分類法儀器的主要為歐美和日本生產廠商,比較著名的歐美廠家有Beckman-Coulter;ABBOTT;Siemens(Bayer);ABX;日本有Sysmex和Nihon Kohdon。在國內已經有邁瑞(MINDRAY)公司生產幾個型號的五分類血細胞分析儀器投入醫療市場。
一 簡要發展史
1974年,一種名為HEMALOG D的具有初步白細胞分類功能的白細胞分析儀問世。
1982年,Technicon公司生產了H6000型血液細胞分析儀器,應該是首款具有白細胞五分類能力的儀器。同時代日本日立公司推出圖像分析法的白細胞分析儀HITACHI 8200型,僅僅是用于完成白細胞血片分類的儀器,沒有其他血細胞計數分析能力。
Technicon 公司1985 年開發了比較成熟的具有白細胞五分類功能的Technicon H1 型血液細胞分析儀,隨后升級為H2型和H3型。
COULTER公司在1987 年開發研制其經典VCS技術,并推出持續具有多年影響力的、具有白細胞五分類功能的血液細胞分析儀MAXM 型。
1990年前后,歐洲和日本許多廠家都陸續推出了各種類型的具有白細胞五分類功能的血細胞分析儀器。各廠家設計生產的此類血細胞分析儀,其在白細胞分類技術上原理各不相同,分析測定項目略有不同,且形式多樣,結構復雜,試劑種類和成分也趨于復雜。不斷改進和升級的新產品使得儀器在白細胞分類技術上更加成熟和可靠。而技術的提高也帶來了儀器和消耗品(試劑)價格的增加。
二 儀器原理和散點圖特點
1 體積、電導和激光散射原理
這是Beckman-Coulter公司生產的血細胞分析儀所采用的經典分析方法,他集三種物理學檢測技術于一體,在細胞處于自然原始的狀態下對其進行多參數分析。該方法也稱為體積、電導、激光散射血細胞分析法。此技術采用在標本中首先加入紅細胞溶血劑溶解掉紅細胞,然后加入穩定劑來中和紅細胞溶解劑的作用,使白細胞表面、胞漿和細胞體積保持穩定不變。然后應用鞘流技術將細胞推進到流動細胞計數池(Flowcell)中,接受儀器VCS三種技術的檢測。
V代表體積(Volume)測量法,是采用經典的庫爾特專利技術,用低頻電流準確分析細胞體積。體積是區分白細胞亞群的一個重要的參數,它可有效區分體積大小差異顯著的淋巴細胞和單核細胞。C代表高頻電導性(Conductivity),采用高頻電磁探針原理測量細胞內部結構間的差異,也是該公司的專利技術。細胞膜對高頻電流具有傳導性,當電流通過細胞時,細胞核的化學組份可使電流的傳導性產生變化,其變化量可以反映出細胞內含物的信息。該參數可用來區分體積相近而內部性質不同的細胞群體,如淋巴細胞和嗜堿性粒細胞,由于它們的細胞核特性不同而在傳導性參數上有所區別。S代表激光散射(Scatter)測量技術,采用氦氖激光源發出的單色激光掃描每個細胞,收集細胞在10°~70°角度內出現的散射光 (MALS)信號。該激光束可穿透細胞,探測細胞內核分葉狀況和胞漿中的顆粒情況,提供有關細胞顆粒性的信息,可以區分出顆粒特性不同的細胞群體。例如細胞內顆粒粗的要比顆粒細的散射光更強,因此可以用于區分粒細胞中的嗜中性、嗜酸性和嗜堿性三種細胞。

圖1 VCS法的測定原理
儀器將分析每個細胞在V、C、S 三種檢測技術上的測量結果,因為不同類別的細胞會在體積、表面特征、內部結構等方面呈現明顯的不同。將這些特征性信息被定義到以VCS為三維坐標(分辨率為256×256×256=16,777,216)所形成的立體散點圖中,這五類細胞可在三維空間中形成特定的細胞群。通過計算某群細胞數量占白細胞總數的百分比,即可得到五項白細胞分類結果。儀器不僅僅做出對正常白細胞的五項分類結果,給出典型的散點圖型,還可以提示許多異常細胞區域的報警。
VCS技術可通過DF1、DF2、DF3三個散點圖將五種類型白細胞明顯區分開。三個散點圖的縱坐標均定義為細胞體積。DF1為細胞體積和激光散射的直方圖,DF2和DF3為細胞體積和高頻電導性的直方圖,DF3為除去粒細胞群體后顯示出淋巴細胞后面的嗜堿性粒細胞圖像。

圖2 各類白細胞在VCS三維空間中的分布特點

圖3 各類白細胞在散點圖中的分布特點
VCS技術是Beckman-Coulter公司開發研制的經典專有方法,到目前為止的各種高檔血細胞分析儀均采用該方法對白細胞進行分析。該方法在白細胞分析上尚有特殊能力,例如可以測定和分析中性粒細胞的體積、核漿比例、細胞顆粒特性等參數,也就是將中性粒細胞的VCS三個參數分別給出,用于了解細菌感性疾病與其它疾病的區別。也可對淋巴細胞、單核細胞等均作出其細胞群體的三個技術參數值,是比較有前景的研究內容。
儀器在RBC、PLT、WBC計數上依然采用電阻抗法,血紅蛋白仍然采用比色法測定。該公司的五分類法血細胞分析儀先后推出多種類型,如MAXM、STKS、GEN·S、HmX、LH755和最新的LH780等型號,在某些機型還具有網織紅細胞分析功能和T淋巴細胞亞群分析功能。
2. 電阻抗、射頻和細胞化學技術
日本Sysmex公司系列血細胞分析儀是在國內應用非常廣泛的儀器,從三分類法到五分類法的各種型號儀器都有大量用戶。其儀器型號種類豐富,功能和測定參數各異,其各種儀器間均有近似的檢測原理,但在結合特定的功能以達到不同的分析目的方面,其原理和所用試劑又有不完全相同之處。本文以目前其最高配置的XE-2100型血細胞分析儀為例說明其在白細胞計數和分類方面的原理和特點。
Sysmex XE-2100在白細胞分類上采用半導體激光流式細胞技術結合核酸熒光染色技術進行白細胞計數和分類。半導體激光照射在通過鞘流技術處理的細胞上,可根據每個細胞所產生的三種信號來鑒別細胞類別。前向散射光(FSC)信號可反應細胞體積大小;側向散射光(SSC)信號可反應細胞的顆粒和細胞核等內含物的信息;側向熒光(SFL)強度信號則用于分析細胞內脫氧核糖核酸(DNA)和核糖核酸(RNA)的含量。
在白細胞分析上主要采用兩個通道進行細胞計數和分類,兩個通道均采用激光和鞘流進樣的方式測定。DIFF通道: STROMATOLYSER-4DL試劑中的表面活性劑可以溶解掉標本中的紅細胞和血小板,并在白細胞膜上打出小孔;然后第二種試劑 STROMATOLYSER-4DS中的聚次甲基染料通過這個小孔進入白細胞中,與細胞核的核酸和細胞器結合,在經過波長633nm的激光照射,產生的熒光強度與細胞的核酸含量成正比。STROMATOLYSER -4DL試劑還具有與嗜酸性顆粒特異性結合的能力,可根據側向散射光信號強度,將嗜酸性粒細胞從中性粒細胞中分離出來。這樣可以將中性粒細胞、嗜酸性粒細胞、單核細胞、淋巴細胞清楚的分離開。在DIFF散射圖當中可以得到白細胞的四個分群(LMNE)。
WBC/BASO通道是專用作檢測嗜堿性粒細胞的通道,因為嗜堿性粒細胞數量非常少,因此必須采用特殊技術處理。STROMATOLYSER –FB是一種酸性試劑,可將紅細胞和血小板形成淡影化,將除嗜堿性粒細胞以外的白細胞處理成裸核形態,然后采用前向散射光(FSC)信號和側向散射光(SSC)信號使嗜堿性粒細胞從其它細胞中分離出來。前向散射光與細胞體積測定相關,側向散射光與裸核后的細胞結構復雜性有關。在這個通道中可以獲得白細胞總數和嗜堿性粒細胞的數量。

圖4 Sysmex XE-2100白細胞分類散點圖
儀器在幼稚粒細胞分析上有特殊的IMI通道,在IMI檢測通道中主要應用射頻(RF)技術和直流電阻抗法(DC)。這個測定通道根據幼稚細胞膜表面比成熟細胞膜表面含有脂質少的現象,在稀釋液中加入硫化氨基酸(IM試劑),由于占位不同,結合在幼稚細胞表面的氨基酸較多,對溶血劑有抵抗作用,對幼稚細胞具有保護作用。當加入溶血劑后成熟細胞易被溶解掉,而幼稚細胞不易被溶解破壞,可通過電阻法檢測出來。射頻技術用于測量細胞核的大小和顆粒的多少,而直流電信號可反應出細胞體積的大小。
在有核紅細胞計數上通過專門的有核紅細胞檢測程序和專用通道-NRBC通道,在處理標本時加入STROMATOLYSER-NR專用試劑,它能使成熟紅細胞溶解又可保持有核紅細胞的核結構,同時也將白細胞保持完好。STROMATOLYSER-NR試劑中的聚次甲基熒光染料可滲透進入白細胞膜內,將白細胞和有核紅細胞的核染色。通過檢測熒光強度得到:白細胞核大熒光強度高,有核紅細胞核小,熒光強度低,正常紅細胞無細胞核和破碎,熒光強度極低。根據熒光強度差和前向散射光信號測定的細胞體積差,可將有核紅細胞從其他細胞群中區分出來。

圖5 Sysmex XE-2100 的幼稚細胞通道和有核紅細胞通道散點圖
該儀器在紅細胞和血小板的計數和分析上仍然沿用了經典的電阻抗方法,在血紅蛋白測定上采用了無劇毒物質的SLS溶血劑比色法。
3 激光散射和細胞化學染色技術
最早采用該技術的是Technicon公司的H1,H3型,現在的最新型為西門子公司的Advia120型和2120型(2007年以前為Bayer公司產品)。他是一款開發比較早的高等級儀器,其在白細胞分類上采用了過氧化酶測定通道和嗜堿粒細胞測定通道。根據細胞化學染色的特性進行白細胞分類。在紅細胞和血小板分析都采用了雙角度激光法。在儀器的管路、電磁閥門、反應杯上采用了獨特設計的集成液流版管路系統,是目前血細胞分析儀中所獨有和特有的技術。
集成液流板實際上是將各種管路和電磁閥門、反應杯等血球計數儀的常用硬件進行綜合處理,系統化,微小化,透明化和集成化。形成的集成板被放置在儀器的明顯部位,方便觀察,并具一定的美觀效果。其另一特點則是細小的管路和反應杯可是標本和試劑用量明顯減少。

圖6 Advia 120的集成液流板。
在白細胞分類上,該儀器采用兩個通道進行,一個為過氧化酶檢測通道,另一個為嗜堿細胞檢測通道。
過氧化酶反應(peroxidase,POX)是血涂片染色的一個常用細胞化學染色方法,用于鑒別原始細胞與成熟的粒細胞,鑒別粒細胞與非粒細胞。染色后的細胞內無藍黑色顆粒出現為陰性反應,出現細小顆粒或稀疏樣分布的黑色顆粒為弱陽性反應,出現黑色粗大而密集的顆粒為強陽性反應。過氧化物酶主要存在于粒細胞系和單核細胞系中,各類白細胞對過氧化物酶的反應是這樣的:早期的原始粒細胞為陰性,早幼粒以后的各階段都含有過氧化物酶,并隨著細胞的成熟過氧化酶含量逐漸增強,中性分葉核粒細胞會出現強陽性反應,嗜酸性粒細胞具有最強的過氧化物酶反應,嗜堿粒細胞不含此酶呈陰性反應。在單核細胞系統,除早期原始階段外,幼稚單核和單核細胞會出現較弱的過氧化物酶反應。淋巴細胞、幼稚紅細胞、巨核細胞等都為過氧化物酶陰性反應。Advia 120/2120血細胞分析儀的過氧化酶(Perox)檢測通道就是根據這個原理設計的,它檢測每一個通過流動計數池中的白細胞,經過激光照射所產生的過氧化酶散射光吸收率,來當然試劑和輔助試劑均進行了改良。
在Perox通道所產生的散點圖,橫軸表示在5°-15°激光散射獲得的細胞過氧化物酶含量情況,縱軸是低角度散射光測量的細胞體積大小。在此通道內細胞被分為五類。1)過氧化酶最強陽性的嗜酸性粒細胞;2)過氧化酶強陽性的嗜中性分葉核粒細胞;3)體積較大、過氧化酶弱陽性的單核細胞;4)體積較小、過氧化物酶陰性的淋巴細胞;5)體積大于淋巴細胞且過氧化物酶陰性的未染色大細胞,此類細胞增加提示幼稚或原始的各類細胞可能出現。
在嗜堿細胞(Baso)通道中采用的檢測原理是:專用的嗜堿細胞試劑(Baso)將除了嗜堿細胞以外的白細胞除去細胞膜,使其裸核化并體積變小,僅將嗜堿性粒細胞保持原有狀態,體積明顯大于其他類的白細胞。在散點圖上處于上面區域的為嗜堿性粒細胞;散點圖的橫坐標可表示細胞核結構的復雜性,處于左側的為單個核的細胞群,包括單核細胞和淋巴細胞;處于右側的為分葉核細胞;中間部位則考慮為桿狀核細胞;左下端為單個核的原始細胞區。

圖7:ADVIA 120/2120儀器Perox通道和Baso通道散點圖
該儀器在紅細胞、血小板的測定上也采用了光學檢測技術。通過激光照射掃描每個通過Flowcell的紅細胞,低角度散射光(2 °~3 °)用于測量細胞體積;高角度(5°~15°)散射光測量每個紅細胞內的血紅蛋白濃度(CH)和血紅蛋白含量平均值CHCM。這兩個值不受紅細胞數量和血紅蛋白測定的影響。還可根據每個紅細胞內血紅蛋白濃度,計算出紅細胞內血紅蛋白分布寬度(HDW)值。其根據紅細胞在體積大小和單個紅細胞內血紅蛋白含量的分析,將紅細胞劃分為9個區域,得到紅細胞體積和色素含量分布的九分圖,也是該儀器在紅細胞分析方面獨有的特色,根據紅細胞分布情況可初步判斷疾病類別(下圖中)。在血小板計數分析上也同樣采用了二維光散射分析法,即可獲得血小板體積大小,可測量1~60fl內的各種大小不同的血小板,還可對血小板內容物含量(MPC)進行測定。血紅蛋白測定采用連續流動比色法和紅細胞散射光直接測定法兩種方法,有助于高脂血和高膽紅素血標本的血紅蛋白測定準確性。

圖8:ADVIA 120/2120 紅細胞散點圖
4 雙鞘流技術和細胞化學染色法
ABX是法國生成血細胞分析儀器的著名廠家,其生產的全自動血細胞分析儀Pentra 120型為其高端產品。在白細胞分類上采用該公司特有的專利技術-雙鞘流(DHSS)分析法。雙鞘流是專利技術,而測定本身是通過電阻抗和光吸收法雙重原理。標本首先在第一鞘流液中經過電阻抗測定分析,得到細胞體積測定結果,然后通過第二鞘流引導再行光吸收率分析,對細胞內容物進行測定,最終將細胞測定信息在散射圖相應的位置表現出來。雙鞘流技術的核心部件是含有紅寶石小孔的復雜的鞘流池,在雙鞘流系統的上下兩端分別加上恒定電流,是保證電阻法的測量要素。為了保證被檢測的細胞能夠正確通過計數孔和鞘流通道,需要利用外來鞘流來進行矯正,因此通過左側鞘流泵注入稀釋液形成第一鞘流液,其作用是保護溶液能夠直接通過計數小孔,并且保證其中攜帶的細胞處于中心部位,液流不發生偏移和扭曲;溶液通過計數小孔后,再通過中間鞘流泵注入稀釋液形成第二股鞘流,用以保證吸光度測量。這樣的過程被稱為雙鞘流分析技術。

圖9 雙鞘流技術示意圖
儀器通過兩個通道來完成白細胞的五項分類。其采用的細胞化學染色技術(Cytochemistry)的原理是經典的細胞分類技術,此染色劑中含有溶血素及氯唑黑活體染料(Chlorazol Black E)。在儀器的LMNE檢測池中,全血樣品與染色劑充分混勻,在35℃條件下進行孵育,此過程的作用是:① 溶解紅細胞 ②對單核細胞的初級顆粒、嗜酸性粒細胞和中性粒細胞的特異顆粒進行不同程度的染色,同時對細胞的膜(細胞膜、核膜、顆粒膜)也進行不同程度的著色 ③ 固定細胞的形態,使其保持自然狀態。由于淋巴細胞、單核細胞、中性粒細胞和嗜酸性粒細胞對染色劑的著色程度不同、每種細胞特定的細胞核形態和顆粒的結構造成光散射的強度不同,產生了特定的吸光率。
染色后的標本被引導進入鞘流池進行雙鞘流分析,首先經過60mm紅寶石小孔進行電阻法分析,用于判斷細胞體積大小,在LMNE散點圖上的橫坐標即可表示出細胞大小的特性。然后樣本迅速進入直徑為42mm的第二鞘流檢測通道進行光吸收率測定,以判斷細胞形態和內容物等情況。根據每類細胞在這兩個分析參數上所表現出來的特性,形成二維分布的散點圖。在此通道內可完成白細胞中淋巴細胞、單核細胞、中性粒細胞和嗜酸細胞群的分類。此通道內在分析的同時還能夠檢測兩群異常白細胞亞群:巨大未成熟細胞(LIC)百分比及絕對值,異型淋巴細胞(ALY)百分比及絕對值,同時還可提供多達82種提示和報警信息。
在LMNE散點圖上,各類白細胞的特點是:①淋巴細胞:典型的淋巴細胞體積較小、形態規則、胞漿內沒有顆粒,其吸光率最低,所以定位在散點圖的右下部矩陣中,正常淋巴細胞散點圖為正態體積分布。②單核細胞:典型的單核細胞體積較大、腎狀核、胞漿內有初級顆粒(幾乎不著色),細胞核大且不分葉,光散射較少,所以位于吸光率軸的最下端,依據單核細胞的體積,位于體積軸的最右端,而異常單核細胞及特大單核細胞則可能出現在LIC的矩陣中。③中性粒細胞:典型的中性粒細胞具有嗜中性顆粒及分葉核的結構,中性顆粒部分著色,同時由于顆粒及核的分葉等形態上的復雜性,而產生光散射。所以中性粒細胞群散點圖位于中部。核分葉越多的中性粒細胞,吸光性越強,在散點圖上的位置向右移。同時桿狀細胞(Bands)體積與中性粒細胞接近,但核的復雜程度低,吸光率低,散點圖位于中性粒細胞與單核細胞之間。④嗜酸性粒細胞:由于嗜酸性粒細胞含有特異性顆粒,與染色液特異性著色,其著色強度最深,位于Y-軸的最上端,此方法提高了嗜酸性粒細胞的分類的準確性。⑤巨大未成熟細胞(Large Immature Cell):未成熟粒細胞因其體積較大,可含有顆粒,光散射強,位于嗜中性粒細胞散點圖的右側,在LIC矩陣圖中從左到右依次排列晚幼粒、中幼粒、早幼粒細胞,另外各種原始細胞位于單核細胞的右側區域中。由于此散點圖中可能有大單核細胞,可引起LIC假性計數增加(LIC的計數結果被計算到在嗜中性粒細胞中)。LIC包括:大單核細胞、高嗜堿性的單核細胞、巨大中性粒細胞、早幼粒細胞、中幼粒細胞、晚幼粒細胞、原始細胞。⑥異型淋巴細胞(Atypical Lymphs):在散點圖中位于淋巴細胞與單核細胞之間的一群細胞,包括:小原始粒細胞、大淋巴細胞等。
在WBC/BASO檢測池中,全血樣品與BasolyseII(PH2.4)溶血素混合,在35°C恒溫下,溶解紅細胞,由于嗜堿性粒細胞具有抗酸性,能夠保持形態完整,而其他白細胞胞漿溢出,成為裸核狀態。細胞通過一個直徑為80mm的鞘流微孔時,根據電阻抗原理進行測定,以細胞體積大小為橫坐標繪制WBC/BASO直方圖。依據閾值設定區分裸核化的白細胞與嗜堿性粒細胞。在直方圖上可以看出在中心界標左側的是細胞體積變小的其它細胞群,界標右側是體積較大的嗜堿性粒細胞。因嗜堿性粒細胞數量極少,因此在直方圖上基本見不到明顯分布曲線和峰。

圖10 ABX血細胞分析儀LMNE散點圖和BASO直方圖
紅細胞和血小板仍然采用電阻抗原理測定,血紅蛋白采用比色法。此為在軟件系統中采用了浮動界標技術用于血小板計數及嗜堿細胞計數,直方圖的界標會依據細胞群的變化做出相應的自動調整。血小板計數上還采用了防返流裝置,目的為防止渦流現象對血小板計數產生影響。在白細胞計數過程中還采用了白細胞平衡檢測原理(WBC Count Balance),使得白細胞計數在WBC/HGB通道中與LMNE雙鞘流池計數結果相聯系,如果出現較大差別則可進行報警提示。
最近該廠推出新一代ABX Pentra DX120型血細胞分析儀,其測定原理仍然采用雙鞘流技術。采用新技術擴展了散點圖分布范圍,形成可對血液中未成熟的粒細胞、單核細胞和淋巴細胞共20個參數的分類或提示性報告信息,這對異常血細胞的篩檢提供了很大幫助。

圖11 Pentra DX120型幼稚細胞散點圖
5 多角度偏振光激光散射技術
美國雅培公司(ABBOTT)推出的血細胞分析儀,在白細胞分類中采用獨特的多角度偏振光散射(MAPSS)技術,其所生產的血細胞計數儀從CELL-DYN 3000,3200,3500,3700,4000,以及Sapphire(藍寶石),在白細胞分類上均采用了MAPSS技術。該技術基本原理是細胞在激光束的照射下,在多個角度都產生散射光,儀器在四個角度的四個檢測器將接收到的相應的散射光信號,然后經過微處理器分析處理,將各類細胞安置在散點圖上的相應位置,并計算出白細胞分類結果。
多角度偏振光散射白細胞分類技術(Multi—Angle Polatised Scatter Separation of white cell,MAPSS)其原理是一定體積的全血標本用鞘流液按適當比例稀釋。其白細胞內部結構近似于自然狀態,因嗜堿性粒細胞顆粒具有吸濕的特性,所以嗜堿性粒細胞的結構有輕微改變。紅細胞內部的滲透壓高于鞘液滲透壓而發生改變,紅細胞內的血紅蛋白從細胞內游離出來,而鞘液內的水分進入紅細胞中,細胞膜的結構仍然完整,但此時的紅細胞折光指數與鞘液的相同,故紅細胞不干擾白細胞檢測。在鞘流系統的作用下,樣本被集中為一個直徑30μm的小股液流,該液流將稀釋的血細胞單個排列,然后通過激光束,激光照射于細胞上,在各個方向都有其散射光出現。0°為前向角散射(1°~3°)光,可粗略地測定細胞大小;②10°為狹角散射光(7°~11°),可測細胞結構及其復雜性的相對特征;③90°為消偏振光散射(70°`~110°),基于顆粒可以將垂直角度的偏振激光消偏振的特性,將嗜酸細胞從中性粒細胞和其它細胞中分離出來。④90°垂直光散射(70°~110°),主要對細胞內部顆粒和細胞成分進行測量。這四個角度同時對單個白細胞進行測量和分析后,即可將白細胞劃分為嗜酸性粒細胞、中性粒細胞、嗜堿性粒細胞、淋巴細胞和單核細胞5種。ABBOTT的五分類法定量很有意思,不用傳統的體積定量,而是采用數量定量,每次計數時完成10000個細胞測定即停止。

圖12 MAPSS測定原理示意圖
該類型儀器除了基本的白細胞五分類外,還提供了其它異常白細胞的信息和報警,提供給檢驗者參考,以通過人工顯微鏡檢查復核這些結果,例如異常淋巴細胞、原始細胞、未成熟粒細胞、桿狀核中性粒細胞。

圖13 ABBOTT CELL-DYN五分類血細胞分析儀各類白細胞在散射圖上的分布圖
6 激光散射技術
日本光電公司是開發和生產五分類血細胞分析儀的廠家之一,目前所知僅有兩款類型的儀器投入市場,均采用相同的測定原理,型號是MEK-7222和MEK-8222。其WBC、RBC和PLT計數原理采用電阻法,白細胞分類測定采用鞘流技術和激光散射原理。在鞘流液中白細胞通過管路進入鞘流池內,激光照射白細胞后發生的各種散射光,根據血細胞的體積、血細胞的復雜性(有無顆粒、核的構造等)的不同,散射光的強度和方向有所不同。激光直進方向和同方向小角度的散射光(表示Size)、激光直進方向和同方向大角度的散射光(表示Complexity)、與激光直進方向相對垂直的方向的散射光(表示Granularity)為參數的作為散點圖,對淋巴細胞、單核細胞、嗜中性白細胞、嗜酸性粒細胞、嗜堿性粒細胞進行分類。Size表示血細胞的大小、Complexity表示白細胞結構的復雜度、Granularity表示白細胞顆粒的程度。采用此原理可提供了三個散射圖,MAIN散點圖、 NE-EO散點圖 和MO-BA散點圖。在MAIN散點圖上(大圖部分)下面散點表示淋巴細胞群,右側為粒細胞群;兩個小圖,NE-EO為中性粒細胞和嗜酸性粒細胞散點圖,MO-BA為單核細胞和嗜堿性粒細胞細胞散點圖。此外儀器還能給出大的不成熟細胞(LIC)提示信息。

圖14 日本光電MEK7222型五分類血細胞分析儀散點圖
7 邁瑞激光散射和細胞化學染色技術
邁瑞(MINDRAY)公司是國內最早有能力生產五分類血細胞分析儀的廠家,他們目前生產有三種型號的五分類血細胞分析儀。BC-5500,BC5380和BC5300型自動五分類血液細胞分析儀,采用半導體激光散射技術和細胞化學染色技術,配合改良的流式分析裝置對白細胞進行精確的五分類分析。BC-5500型為目前最高配置,可選擇使用靜脈血或預稀釋末梢血,均能獲得良好的各種細胞計數結果和白細胞五分類結果。可提供27項計數和計算參數、2個散點圖和2個直方圖以及異常報警信息。測定速度為80個標本/小時(配自動進樣器),全中文的操作界面,操作及提示功能一目了然,具有大型彩色TFT觸摸屏,操作簡單方便。
鞘流技術是所有高檔血細胞分析儀均采用的細胞進樣技術,為了達到更高的液流速度壓力差和更穩定的液體流動,該公司獨創性地采用了二次加速鞘流技術,分級實現鞘液的第二次加速,增加了單位時間內細胞的通過流量,從而能夠完成對預稀釋血液進行白細胞五分類分析。
儀器通過兩個通道完成白細胞分類測定。在DIFF通道中增加了利用了可對嗜酸性粒細胞進行染色的特殊試劑。激光散射分析技術是五分類法常用的分析技術,由于細胞的物理特性,當激光照射到細胞時,會有不同角度的散射光出現。低角度(1°~5°)散射光可反映細胞體積大小信息;中高角度(10°~20°)散射光可反映細胞顆粒的復雜性信息。綜合這兩個角度散射光的信息,結合其他特殊技術來完成白細胞的五分類測定。標本在鞘流的帶動下進入儀器的檢測區域后,激光照射于細胞之上所發射出的低角度和中高角度散射光信號可表現出細胞大小和內容物復雜程度(包括細胞內顆粒等)的特性信息,經儀器檢測分析,將其分布在一個二維空間的散點圖中,可區分淋巴細胞、單核細胞、中性粒細胞和嗜酸性粒細胞。而化學染色技術可進一步實現對嗜酸性粒細胞的準確判定。
在WBC/BASO通道中通過強溶型試劑和特異性染色技術,可保留完整的嗜堿性粒細胞,并對其進行特異性修飾,同時破壞其它四類白細胞,使之形成膜包核狀態,在激光的照射下同樣形成兩個角度的散射光,完整的嗜堿性粒細胞體積偏大,其他類別白細胞體積變小,通過激光信號的強弱來計數嗜堿性粒細胞并在該通道中計數白細胞總數。該方法可以有效排除難溶性紅細胞、巨大血小板、血小板聚集及其它非細胞顆粒等因素對計數的影響,保證嗜堿性粒細胞及WBC總數的精確分類和計數。

圖15 邁瑞五分類血細胞分析儀散點圖特征
三 圖像分析法白細胞分類儀器
文章開始部分已經提到在1982年日本日立公司生產的8200型白細胞圖像分析系統,應該是此類儀器的原始機型。而作者在1984年也曾經參與過中科院某研究所的一個關于血細胞形態特征數字化的研究工作,其目的是將5類白細胞基本信息在顯微鏡下掃描后形成數據模型,可惜這項工作因為當時技術條件的限制而沒有取得預想的結果。
近年來瑞典CellaVision AB公司開發出一種新型自動影像血細胞形態分析系統CellaVision已經投入臨床應用,該產品2005年3月在歐洲開始投放市場,已經有許多實驗室配備了該系統,用于進行血涂片的過篩檢查,該產品2007年進入中國市場,正處于推廣中。該系統目前有兩款機型,CellaVision DM96和CellaVision DM8。該系統是以染色后的血涂片為標本,以最接近傳統顯微鏡觀察法的技術對血液中的白細胞、紅細胞進行初步分類的儀器,該儀器采用先進的人工智能神經網絡系統和全自動的操作程序,可使血細胞形態學檢驗在自動化、標準化、智能化方面達到一定的目的和水準,在強調形態學檢驗重要性的背景下有良好的發展前景。

圖 16 檢驗醫師在Cellavision顯示屏前審查白細胞分類結果
該儀器的組成可分為五大部分
1 血片自動傳輸系統 將染色后的標準血涂片放在片盒內。該系統不具染色功能,需先將血片用瑞氏或瑞氏-姬姆薩染液染色。血片可按照順序被儀器傳輸系統傳送到顯微鏡載物臺上。
2 血片自動傳輸系統 將血片從片盒內取出并通過掃描條碼記錄標本編號,然后將標本送到自動顯微鏡的載物臺上。
3 自動加油系統 自動吸取適量的顯微鏡油,滴加到血涂片適當的位置,用于油鏡頭下的細胞觀察和分類。其感應器能提示加油的狀態和加油的量。
4 自動血涂片掃描系統 包括一臺具有物鏡頭自動轉換、血涂片可三維方向移動的自動顯微鏡和一臺具有自動調焦能力的數碼照相機。物鏡頭可根據要求自動轉換×10、×40、×100倍鏡頭;載物臺可水平上下左右移動,并可按照Z字型路線移動血片,供照相機攝取不同部位的細胞形態圖像。
5 數據光電轉換系統 數碼相機拍攝后的數字圖像信息,將光學信號轉變成數字信號,然后對每個視野下的圖像進行分析,辨識單細胞層,白細胞定位點,從而為軟件系統的白細胞分類提供源數據。
儀器分析原理:首先在×10倍物鏡頭下搜索單細胞層,轉換×40倍物鏡頭后拍攝紅細胞圖像,再轉換×100倍油鏡頭后,在鏡油加入后,在單細胞層掃描拍攝有核的白細胞,其所搜尋拍攝的白細胞數量可自行定義。獲得細胞數碼圖像后,通過軟件系統提取細胞特征,例如紅細胞,需提取紅細胞直徑、顏色、色素含量、對比度等特征性信息;白細胞需提取白細胞形狀、大小、紋理、顏色、空隙、細胞核和細胞質比例關系等360個信息參數。將所提取的特征信息轉化為數字信號,然后通過人工智能神經網絡系統(ANN)進行形態學分析。這種人工神經網絡系統是根據大型細胞數據庫進行制作的。

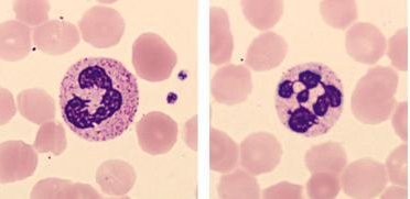
圖17 Cellavision拍攝的中性粒細胞圖片

圖18 Cellavision拍攝的中性桿狀核粒細胞、嗜酸粒細胞、淋巴細胞和幼稚細胞圖片
儀器顯示屏上可提供白細胞分類的結果和分割成單細胞的圖片,在一般情況下操作者只需要確認分類結果,以及側重于那些處于邊緣的細胞分類即可。對儀器不能確認的細胞,可通過屏幕調出,放大觀察,再確認類別。操作者還可建立自己的參考細胞圖庫,并可對細胞形態和報告添加備注。系統還可與血細胞分析儀連接,獲取血細胞計數的結果,形成血細胞自動化分析 形態學報告的更加完美的結果。該系統可給出白細胞17個類別,除了五分類結果外,還有早幼粒細胞、晚幼粒細胞、原始細胞、異型淋巴細胞等類別;紅細胞分析上可得到大小不均、小型紅細胞、巨紅細胞、低色素紅細胞、多色性紅細胞、異型紅細胞等信息;在血小板上可觀察到血小板聚集情況,以及根據圖像中血小板數量判斷核實血小板數量,與血細胞分析儀計數的血小板數量相互比對核實。可形成帶有白細胞分類圖的結果報告。
儀器涂片和染色可通過手工方式操作,但需要較好的技術水平,薄血片,并有一定數量的單細胞層,染色顏色保持穩定。也可配置自動涂片和自動染色機完成血涂片的前期預備性工作。該儀器可與全自動血細胞分析儀測定數據進行連接,可以將具有形態學特點的分類結果與儀器分析結果進行合并,得到更加可靠的血細胞分析數據。
小結:本文從全自動五分類式血細胞分析儀談起,主要介紹各種品牌和代表類型的儀器在白細胞分析和分類上的不同原理和散點圖特征,這些儀器應該是目前國內在應用五分類血細胞分析儀上有代表性的儀器。文中材料來自教材、圖書、文獻報道和廠家宣傳資料。如有不妥或錯誤請大家指正。